★…13:30-17:30まで
▲…14:00-16:00まで
各種クレジットカード取扱
〒249-0006 神奈川県逗子市逗子1丁目10-20横須賀線逗子駅 東口 徒歩3分京急逗子線逗子・葉山駅 北口 徒歩8分
046-887-0005
診療メニューMEDICAL
症例
Case
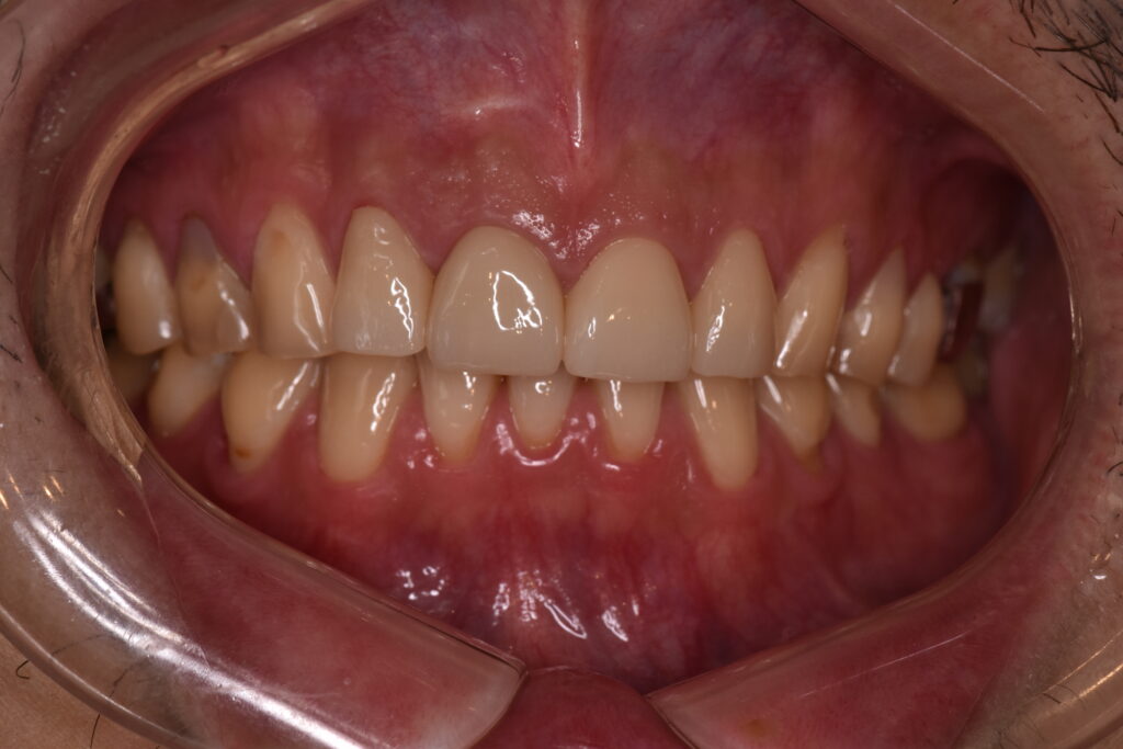
【患者様】 👨 30代
【主訴】
7-8年前に前歯に詰めたプラスチックが欠けたので治してほしい。
【治療計画】
元々の前歯の長さが不揃いであったり、他部位に詰めてあるプラスチックが劣化してきている箇所があったため、前歯4本での修復となりました。
【処置前】
【処置後】
【技工物】
担当医:東 由紀子 カウンセリング:前田 夏葵 技工ラボ:シェイプデンタルアート様