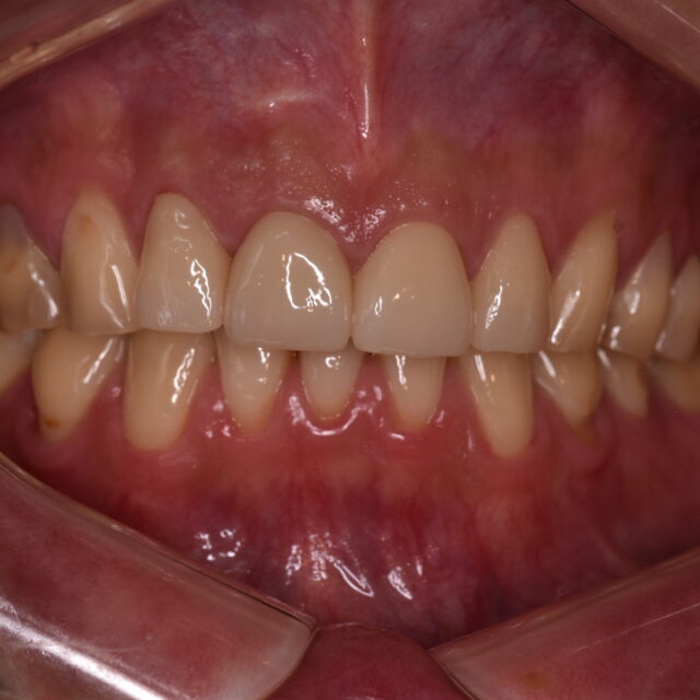
前歯部フルジルコニアクラウン修復🦷 2026年4月6日 TC前田,フルジルコニア,症例 【患者様】 👨 30代 【主訴】 7-8年前に前歯に詰めたプラスチックが欠けたので治してほしい。 【治療計画】 元々の前歯の長さが不揃いであったり、他部位に詰めてあるプラスチックが劣化してきている箇所があ… 続きを読む