診療時間
09:00~12:00
14:00~19:00
  • …13:30-17:30まで

    …14:00-16:00まで

  • 休診日:火曜・金曜・祝日
  • 休診日:火曜・日曜・祝日

〒249-0006 神奈川県逗子市逗子1丁目10-20
横須賀線逗子駅 東口 徒歩3分
京急逗子線逗子・葉山駅 北口 徒歩8分

046-887-0005

症例

Case

右上3本をMTAとフルジルコニア|症例|逗子駅より3分、オーケースーパー前の歯医者|湘南ライフ歯科逗子

右上3本をMTAとフルジルコニア

Pocket

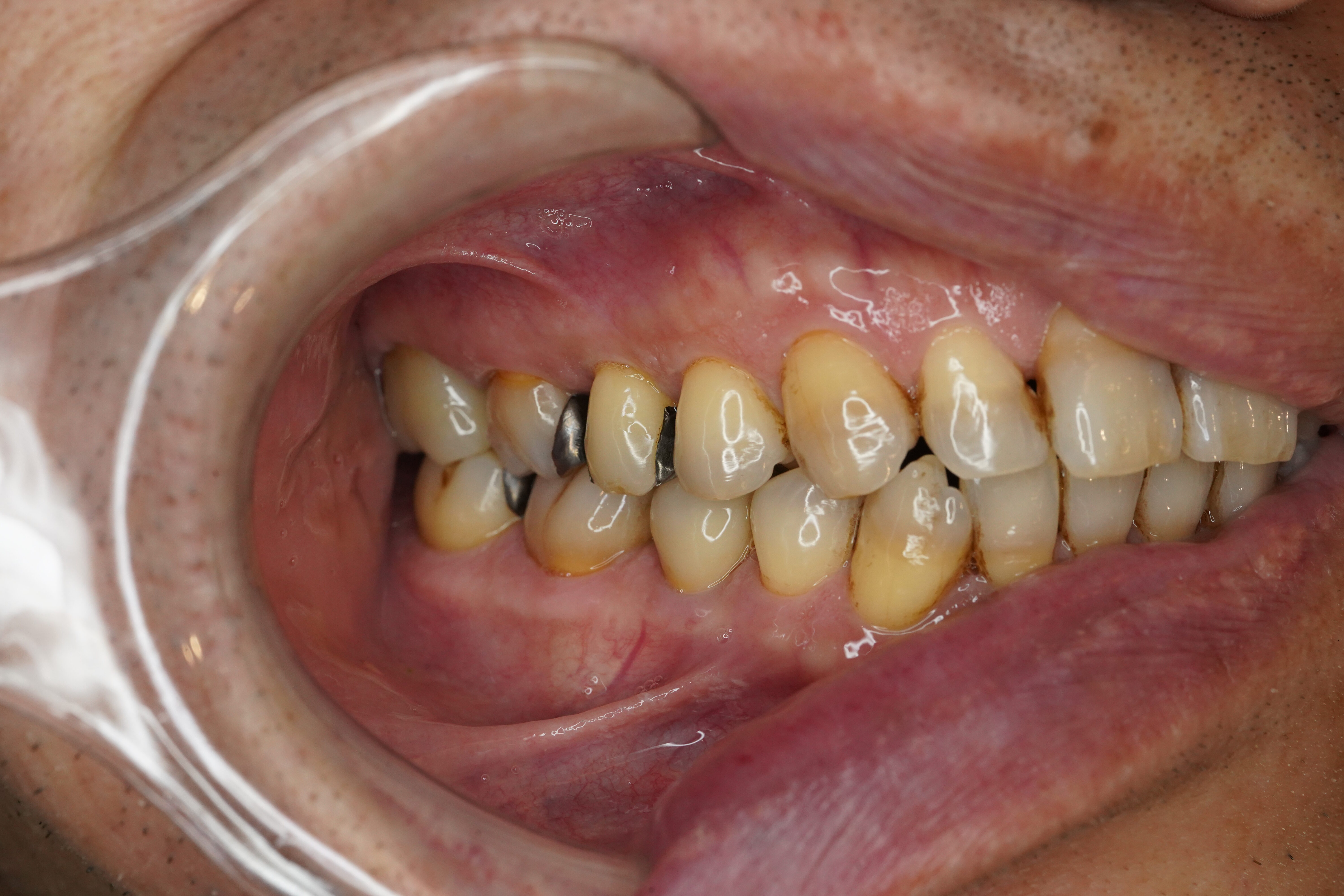
歯科衛生士の八重樫です!

今回は右上第一・二小臼歯と第一大臼歯の3本をまとめてMTA &フルジルコニアで治療したケースのご紹介です💡

 

もともと右上第二大臼歯を感染根管治療・ファイバーコア・フルジルコニアで治療をされていました

その時に手前の歯に虫歯が見つかりその歯にはメタルの詰め物が入っていました

どの歯も同じ時期にメタルの詰め物をされたそうでまとめての治療を希望され今回処置をすることとなりました

治療Movie🎥

 

🦷治療内容:MTAとフルジルコニア

🦷担当医:Dr.小林

🦷技工所:プロミネント

アザラシのイラスト3
トップアイコン
Loading...