★…13:30-17:30まで
▲…14:00-16:00まで
各種クレジットカード取扱
〒249-0006 神奈川県逗子市逗子1丁目10-20横須賀線逗子駅 東口 徒歩3分京急逗子線逗子・葉山駅 北口 徒歩8分
046-887-0005
診療メニューMEDICAL
症例
Case
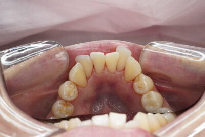
歯科衛生士の八重樫です!
今回はエアフローで着色を除去!のご紹介です💡
上下の前歯の裏側に着色の付着がみられました
普段お茶とコーヒーをよく飲まれるそうです☕️
エアフロー後🦷✨
綺麗になりました☺️✨
🦷処置内容:歯科衛生士処置(エアフロー)60分
🦷担当歯科衛生士:DH八重樫