症例
Case
|
診療時間
|
月 | 火 | 水 | 木 | 金 | 土 | 日 | ||
|---|---|---|---|---|---|---|---|---|---|
| 09:00~12:00 | ● | / | ● | ● | / | ● | ● | ● | / |
| 14:00~19:00 | ● | / | ● | ● | / | ● | ★ | ▲ | / |
★…13:30-17:30まで
▲…14:00-16:00まで
各種クレジットカード取扱



〒249-0006 神奈川県逗子市逗子1丁目10-20
横須賀線逗子駅 東口 徒歩3分
京急逗子線逗子・葉山駅 北口 徒歩8分
症例
Case
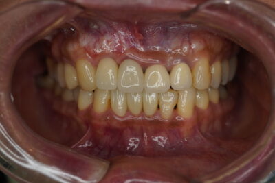
歯科衛生士の八重樫です!
今回は前回ご紹介した患者さまで下の前歯のメタルと虫歯が気になる!綺麗にしたい!とのことで治療を行いました🦷✨そのご紹介ですっ!
こちらが処置前Photoになります
右下中切歯にメタルとその両隣の歯に虫歯が、また並びが重なっていてそこも気になる!とのことで治療することとなりました
神経は生きていたのでMTA自体は可能でしたが、下顎前歯はもともとサイズが小さいためMTAで神経保護を行うと被せ物の脱離の可能性が大きくなるので、精密に根管治療を行いファイバーコアを立てジルコニアセラミックで被せることとなりました
また被せ物で歯列も修正し綺麗に治り患者さまにも喜んでいただけて本当によかったです☺️
処置後Photoになります👀✨
今後はメンテナンスで定期的に通っていただく予定です🪥
🦷担当医:Dr.小林
🦷治療内容:根管治療・ファイバーコア・ジルコニアセラミック
🦷技工所:プロミネント