症例
Case
|
診療時間
|
月 | 火 | 水 | 木 | 金 | 土 | 日 |
|---|---|---|---|---|---|---|---|
| 09:00~12:00 | ● | / | ● | ● | / | ● | ● |
| 14:00~19:00 | ● | / | ● | ● | / | ★ | ▲ |
★…13:30-17:30まで
▲…14:00-16:00まで
各種クレジットカード取扱



〒249-0006 神奈川県逗子市逗子1丁目10-20
症例
Case
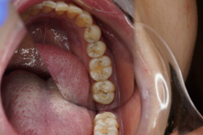
歯科衛生士の八重樫です!
今回は左下臼歯部4本をMTAした症例のご紹介です💡
歯の表側にプラスチック修復がされていたのですが劣化で黒くなっていたり咬合面や隣接に虫歯があったので、MTAセメントを詰めて神経保護を行ないフルジルコニアで被せて治療することとなりました
こちらが処置前Photoになります
特に症状はありませんでしたが、他の歯の治癒経過待ちに治したい!とのことで今回治療を開始しました
まだMTAまでしか進めていないので補綴が入り治療が終わり次第ご紹介します✋
治療Movieご覧ください🎥
https://youtu.be/K8Xk0rKlvNQ
🦷担当医:Dr.小林
🦷治療内容:MTA