症例
Case
|
診療時間
|
月 | 火 | 水 | 木 | 金 | 土 | 日 | ||
|---|---|---|---|---|---|---|---|---|---|
| 09:00~12:00 | ● | / | ● | ● | / | ● | ● | ● | / |
| 14:00~19:00 | ● | / | ● | ● | / | ● | ★ | ▲ | / |
★…13:30-17:30まで
▲…14:00-16:00まで
各種クレジットカード取扱



〒249-0006 神奈川県逗子市逗子1丁目10-20
横須賀線逗子駅 東口 徒歩3分
京急逗子線逗子・葉山駅 北口 徒歩8分
症例
Case
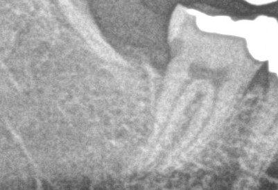
歯科衛生士の八重樫です!
今回は藤沢の患者さまで右下第二大臼歯が親知らずのせいで虫歯になりMTAセメントを詰めたケースのご紹介です💡
こちらが処置前のPhotoとレントゲンになります



見た感じは問題なさそうですが、削っていくと虫歯はかなり深くまで進行していました
処置中のMovieになります🎥
今後は補綴処置になりますが、歯周病もみられるため先に治療を行なってから被せ物を作製する予定です
また治療が進み次第ご紹介します🦷